처음 성형외과 가는거였는데 직원분들 다 너무 친절하시고, 원장님도 너무 친절하고 유쾌하셔서 너무 재미있었습니다
원장님께서 상담을 친절하게 잘 해주십니다.
비용은 학생 이벤트로 저렴한 가격에 할 수 있었어요.
쌍액을 너무 많이하다보니까 눈이 쳐져서 쌍수하게됐어요
강남언니에서 봤던 이벤트가와 동일했고, 의사 선생님부터 직원분들까지 친절하셔서 기분이 꽤나 좋았습니다.
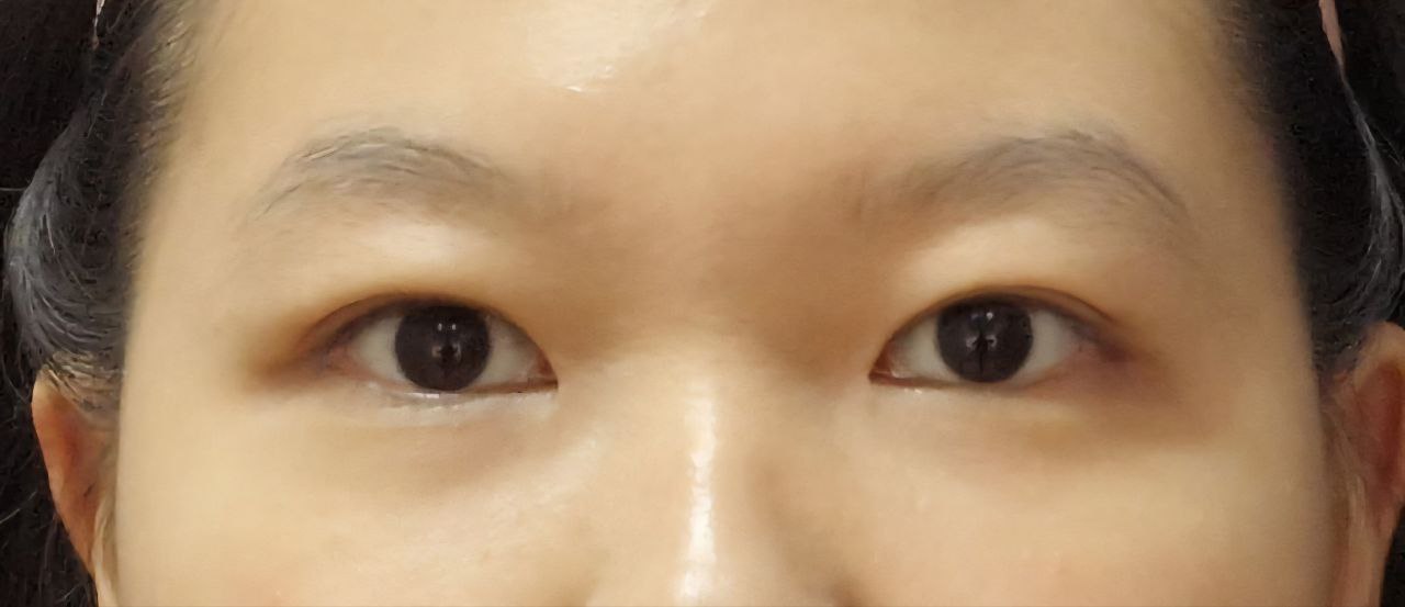
아직 붓기가 다 빠진 상태가 아니라 조금 더 결과를 기다려 보아야 할 것 같네요.
원장님이 수술도 많이 해보셨고 필요한것만 하는게 좋다고 얘기해주신 부분이 마음에 들어서 타미로 결정하게 됐고
짝눈이라서 이번에 타미에서 윤희근원장님께 절개로 수술하면서 앞트임까지 했습니당 ㅎㅎ
평택 사는데 친구가 인천타미성형외과에서 하고 너무 잘돼서 그거 보고 인천까지 와서 여기로 결정함ㅋㅋ
타미 최성훈원장님이 과하게 권하는 느낌도 없이 필요한 설명만 딱딱 해주셔서 엄마랑 저랑 둘다 만장일치로 타미성형외과 선택했어요!
직원분들이 친절하셨고 제게 어울리는 쪽으로 상담을 해주셔서 좋았어요
쌍수는 무조건 타미
인천성형외과, 구월동성형외과, 인천쌍수, 인천코성형, 인천가슴성형, 인천피부과, 구월동피부과, 인천성형외과전문의, 인천성형수술, 성형후기
인천성형외과, 구월동성형외과, 인천쌍수, 인천코성형, 인천가슴성형, 인천피부과, 구월동피부과, 인천성형외과전문의, 인천성형수술, 성형후기, 인천성형외과 타미성형외과 피부과에서는 성형외과 전문의가 1:1 맞춤 상담 및 수술을 진행하고 있습니다. 경력 30년 이상 마취통증의학과 전문의가 상주하고 있어, 안전하게 수술을 받을 수 있습니다. 또한 인천성형외과 중 가장 큰 장점인 CCTV와 실시간 수술 모니터링 서비스도 제공합니다. 인천성형외과 선택이 고민되신다면, 안전제일주의 타미성형외과 피부과에서 전문적인 상담과 안전하게 수술 받으세요
시각장애인을 위한 텍스트 정보 영역입니다.