친절히 상담해주셨고 강요도 없었습니다! 바로 예약 잡고 수술했어요.
원장님께서 친절하시고 라인도 다양하게 잡아주셔서 내 얼굴에 어울리는 눈으로 꼼꼼하게 봐주는 것 같아서 수술하게 되었어요
인천 타미성형외과가 중년성형으로 유명하고 후기 좋은것도 많아서
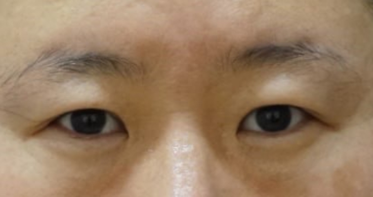
원하는 눈이 되려면 앞트임+부분절개로 하면 될 것 같다고 최성훈 원장님이 추천해주셨어요
작년에 여기서 부분절개랑 앞트임을 했었는데 너무 잘되가지구 이번에는 코를 맡겼어용 ㅋㅋ
김종찬원장님께 수술을 받았는데 원장님이 손기술이 워낙 좋으셔서 그런지 회복이 생각보다 빨리됐고 붓기레이저 서비스도 받았어요 ㅎㅎ
윤희근원장님이 사후관리도 잘해주셔서 덕분에 회복도 금방한 것 같습니다 ㅎㅎ 감사드려요
회복이 정말 빨라서 2주후부터는 일상생활에 아무런 지장이 없었습니다
코 후기도 윤희근원장님 후기 중에 맘에 드는게 많았어서 첨부터 네이버 예약으로 지정해서 상담 갔었는데 수술 후 결과도 잘나와서 뿌듯해요 ㅎ
여러 곳 상담을 해본 후, 인천 타미성형외과 김종찬 원장님의 자신감 있는 상담이 마음에 들어 수술을 결정했습니다
생각보다 너무 예쁘게 라인이 잡혀있어서 놀랐고 일주일 내로 멍은 거의 빠져서 결과에 너무 만족했습니다.
캡스 기계 없는 곳도 많다던데 타미는 캡스 있어서 이걸로 관리받고 있어요
인천성형외과, 구월동성형외과, 인천쌍수, 인천코성형, 인천가슴성형, 인천피부과, 구월동피부과, 인천성형외과전문의, 인천성형수술, 성형후기
인천성형외과, 구월동성형외과, 인천쌍수, 인천코성형, 인천가슴성형, 인천피부과, 구월동피부과, 인천성형외과전문의, 인천성형수술, 성형후기, 인천성형외과 타미성형외과 피부과에서는 성형외과 전문의가 1:1 맞춤 상담 및 수술을 진행하고 있습니다. 경력 30년 이상 마취통증의학과 전문의가 상주하고 있어, 안전하게 수술을 받을 수 있습니다. 또한 인천성형외과 중 가장 큰 장점인 CCTV와 실시간 수술 모니터링 서비스도 제공합니다. 인천성형외과 선택이 고민되신다면, 안전제일주의 타미성형외과 피부과에서 전문적인 상담과 안전하게 수술 받으세요
시각장애인을 위한 텍스트 정보 영역입니다.