타미성형외과 윤희근원장님께 코수술을 받았는데 둘 다 예쁘게 잘돼서 후기 올립니당!
카페랑 어플에서 알아봤는데 인천 타미성형외과가 중년성형 많이하고 마취과전문의도 있어서 안전하게 받을수 있다는 글이 많아서 가보게 되었어요
가격이 정말 합리적이였고 거기 계신 분들 다 친절하셧어요
마취과 의사 상주와 볌원규모 그리고 인지도로 선택하게되었는데 윤희근쌤이 중학생성형이라서 더 세심하게 상담해주셨고
다들 친절하시고 상담도 자세하게 해주시고 맞춤형으로 상담해주셔서 좋았습니다!!
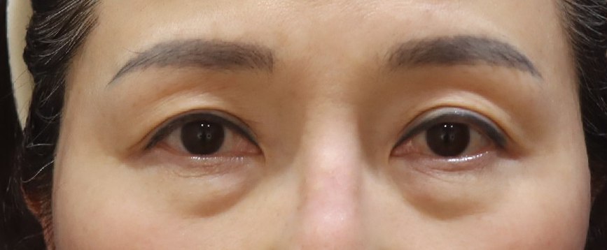
타미성형외과 김선옥원장님께 상담받았고 원장님이 상담 때 눈밑 꼼꼼하게 잘 봐주시고
김선옥원장님 상담직원분들 모두 친절하셔서 늘 기분좋게 상담이랑 시술까지 받았던 거 같아요.
인천 타미성형외과가 가장 친절했고 불필요한 시술 권유 안하셨어요
지방이 너무 많고 안검안수인지도 몰랐는데 직접 봐주시면서 설명해주시고 시술에 대해서도 하나하나 잡아주시면서 얘기해주시는게 좋았어요
처음 상담 갔을때 친절하게 설명해주시고 빠르게 이용했어요
라인의 형태, 크기에 대한 정보들과 시술 진행 후 완성되는 라인에 대해서도 자세히 설명해주셔서 좋았어요!
상담해주시는 분이 엄청 친절하셨어용 😁😁
인천성형외과, 구월동성형외과, 인천쌍수, 인천코성형, 인천가슴성형, 인천피부과, 구월동피부과, 인천성형외과전문의, 인천성형수술, 성형후기
인천성형외과, 구월동성형외과, 인천쌍수, 인천코성형, 인천가슴성형, 인천피부과, 구월동피부과, 인천성형외과전문의, 인천성형수술, 성형후기, 인천성형외과 타미성형외과 피부과에서는 성형외과 전문의가 1:1 맞춤 상담 및 수술을 진행하고 있습니다. 경력 30년 이상 마취통증의학과 전문의가 상주하고 있어, 안전하게 수술을 받을 수 있습니다. 또한 인천성형외과 중 가장 큰 장점인 CCTV와 실시간 수술 모니터링 서비스도 제공합니다. 인천성형외과 선택이 고민되신다면, 안전제일주의 타미성형외과 피부과에서 전문적인 상담과 안전하게 수술 받으세요
시각장애인을 위한 텍스트 정보 영역입니다.